Profacgen offers a handy Electrophoretic Mobility Shift Assay (EMSA) service, ideal for exploring those complex protein-nucleotide interactions. It's super useful if you're researching gene regulation, transcription factor binding, or the details of DNA repair and RNA processing. They handle everything from prepping your samples and labeling nucleotides to running the electrophoresis and breaking down the data. So, you can count on them for top-notch results that'll really drive your research forward.
EMSA is a lab method that helps researchers spot and study how proteins interact with nucleic acids. Basically, you take a labeled nucleic acid probe, mix it with a protein sample, and then run it through a non-denaturing gel. If the protein binds to the probe, the combo moves slower through the gel than the free probe, making a clear band shift. You can see this shift using techniques like autoradiography, fluorescence, or chemiluminescence. This movement tells you there's a protein-nucleic acid interaction going on, offering clues about how specific and strong the binding is.
Fig1. Schematic Diagram of EMSA.
EMSA is quite handy in molecular biology and biochemistry:

Sample Requirements:
Deliverables:
Service Details:
| Nucleotide and Protein Preparation (Optional) | Quality Control Testing (EMSA will be stopped if QC fails) | Nucleotide Labeling and Purification | Electrophoresis of Nucleotide-Protein Complexes | Membrane Transfer and Cross-Link by UV (Optional) | Signal Detection | |
| Critical Points | Nucleotides and proteins should be stored at -20°C or -80°C to maintain stability. Avoid repeated freeze-thaw cycles to prevent degradation. | If QC fails, troubleshoot by checking sample preparation protocols, storage conditions, and reagent quality. | Ensure complete labeling and purification to avoid background noise in EMSA results. | Ensure proper mixing of reagents and avoid vigorous pipetting to prevent disruption of protein-nucleotide complexes. | Handle the membrane with clean forceps and powder-free gloves to avoid contamination. Ensure even UV exposure to prevent uneven cross-linking. | Follow the manufacturer's instructions for optimal detection conditions. Ensure that the membrane is not overexposed to prevent signal saturation. |
Background
The aim of this project is to verify the interaction of DUX4 protein with its target DNA sequences using EMSA. The project involves designing and synthesizing a biotin-labeled oligo probe, incubating it with DUX4 protein, and detecting the resulting protein-DNA complex via chemiluminescence. Additionally, an unlabeled probe is used for competitive experiments to confirm specificity.
Results
Note: Key information has been blurred due to the confidentiality of the project promised to the client.
Fig2. EMSA Results for DUX4 Protein and Its Target Probe.
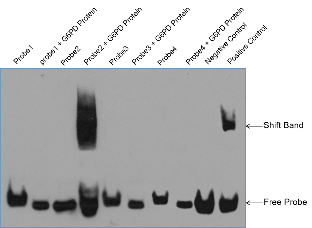
Background
The aim of this project is to verify the interaction of X protein with its target DNA sequences using EMSA. Specifically, four oligos were designed and synthesized in vitro, labeled with biotin at the 5'-end. After incubation with purified X protein, the resulting complexes were subjected to gel electrophoresis, and the shift band with DNA-X was detected using the chemiluminescence method. Additionally, unlabeled probes were used for competitive binding experiments.
Results
Note: Key information has been blurred due to the confidentiality of the project promised to the client.
Fig3. EMSA Results for X Protein and 4 Probes.
| DNA/RNA pull down | DNase I Footprinting Assay Service | Chromatin Immunoprecipitation (ChIP) Assay Service | CUT&RUN-Sequencing Service | DAP-seq Service (DNA affinity purification sequencing) |
References:
References from our customer:
Sirisena ND.; et al. Electrophoretic mobility shift assays implicate XRCC2: rs3218550C> T as a potential low-penetrant susceptibility allele for sporadic breast cancer. BMC Res Notes. 2019;12(1):476.
XRCC2 is known to play an essential role in homologous recombination repair of DNA double-strand breaks. It is plausible that this variant may be exerting regulatory effects on XRCC2 gene expression leading to altered DNA repair capacity. Further functional studies are warranted to validate this finding. In order to investigate whether a single nucleotide variant at the rs3218550 site may alter the protein-DNA interactions, EMSA was performed by Profacgen.
Fill out this form and one of our experts will respond to you within one business day.